티스토리 뷰
입냄새 원인과 제거법
매일 양치질과 구강청결제를 사용해도 그 순간만 입냄새가 줄어들뿐 입냄새가 제거되지 않는다고 합니다. 또한 본인은 입냄새가 나는지를 모를는 경우가 많으며 가족이나 직장 동료한테서 입냄새 난다고 말을 들으면 무안해지고 말하기가 꺼려집니다. 그래서 지금부터 입냄새 원인과 제거법을 알아보겠습니다.



입냄새 원인
입냄새 원인은 입안의 박테리아가 단백질을 분해하면서 휘발성 황화물질을 만들어 입냄새를 발생시킨다고 합니다.



1. 다이어트로 입냄새 윈인이 될수 있다고 합니다. 갑자기 탄수화물을 줄이면 지방이 분해되면서 케톤이라는 성분이 만들어져 입냄새의 원인이 된다고 합니다.
2. 충치나 이빨 사이에 음식물이 끼면 냄새를 일으키며 입속에 잇몸질환이나 보철물, 충치, 틀니 등이 입냄새 원인이라고 합니다.



3. 구강질환으로 잇몸이나 충치에 염증이 있거나 입안 상처 등이 있으면 입냄새 윈인이 될수 있습니다.
4. 술의 알콜이 분해가되어 생기는 아세톤은 냄새가 심하며 담배의 타르 성분은 치아와 혀, 입안 점막에 붙어 입냄새를 가중시킨다고 합니다. 또한 니코틴은 침의 분비량을 줄여 더욱 입냄새 윈인이 됩니다.



5. 위장이 안좋은 사람이나 역류성 식도염이 있을 경우 입냄새가 심할수 있습니다. 위에 쌓인 음식물 냄새가 올라와 심한 입냄새를 유발한다고 합니다.
6. 스트레스나 장기적으로 복용하는 약이 침의 분비량을 줄어들게해 세균이 번식하여 더욱 심하게 입냄새가 심해진다고 합니다.



7. 입이 마르면 입냄새가 심해 질수 있다고 합니다. 입이 마르면 침 분비량이 적어져 입속 세균이나 박테리아가 급격하게 증가하여 입냄새가 난다고 합니다.
8. 향이 강한 음식물로 입냄새가 심해진다고 합니다. 양파나 마늘, 파, 고추장, 겨자 등 향이 강한 음식 등이 입냄새를 가중시키며 고지방, 고단백질 음식 또한 입냄새가 심해진다고 합니다.



9. 위장과 구강질환에 문제가 없는데 입냄새가 심하게 난다면 목안의 편도선에 원인이 있을수 있습니다. 세균이 편도선염이나 편도결석을 만들어 앱냄새가 심해진다고 합니다.
10. 치약의 합성계면 활성제 때문에 입냄새가 난다고 합니다. 합성계면 활성제는 찌꺼기 등을 분해하는 역활을 하는데 양치질 후 입안에 계면 활성제를 말끔하게 제거하지 않으면 입안에 남아있는 계면 활성제가 입속을 더욱 건조하게 하여 냄새를 더 증가 시킨다고 합니다.



입냄새 제거법
1. 충분한 수분을 공급해주면 입냄새 제거에 도움이 된다고 합니다. 입속이 마르면 세균 번식이 쉬워지고 입냄새가 난다고 합니다. 그러므로 물을 수시로 마셔 입안에 수분을 충분히 공급해주어야 합니다.



2. 올바른 양치법으로 입냄새 제거를 할수 있습니다. 치약에는 합성계면 활성제 성분이 있으며 이 성분을 말끔히 없애주지 않으면 입냄새가 나므로 양치후 최소 7번에서 10번 정도 입안을 물로 헹궈줘야 겠습니다.
3. 혀의 설태를 제거해 주면 입냄새 제거를 할수 있습니다. 설태란 혀에 하얗게 낀 막을 말하며 혀의 돌기 모양에 음식물 찌꺼기가 쌓여 입냄새를 유발하므로 설태를 제거해주어야 겠습니다.



4. 녹차나 홍차에 폴리레놀이라는 성분이 입안의 세균을 막아 입냄새 제거에 도움이 된다고 합니다.
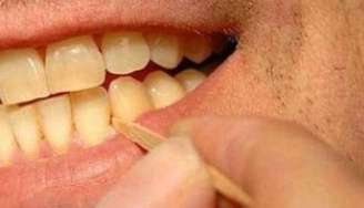
5. 치실이나 치간칫솔로 이빨 사이에 음식물 찌꺼기를 제거해 주시면 좋습니다. 눈엔 보이지 않지만 이빨 사이나 잇몸에 음식물 찌꺼기가 끼여 입냄새를 유발하므로 치실이나 치간칫솔로 찌꺼기를 제거해 주시면 입냄새 제거에 도움이 됩니다.



이만 입냄새 윈인과 제거법을 알아보았습니다. 위의 방법으로 잘 관리하여 입냄새 예방 및 제거에 도움 되었으면 합니다.